Crowns

Restorative dental specialist – Crowns are often suggested to restore a tooth that has been extensively damaged or weakened and is now unsuitable just to be filled. They provide a seamless finish, resulting in a tooth that functions and feels like a normal one should.  
A crown is a laboratory-constructed restoration, which covers all or part of a tooth in order to improve both appearance and function. Crowns are made of metal, porcelain or a combination of both. The new materials we have available to us and with the advances in dental equipment and technology, porcelain crowns can now be made so that they are virtually undistinguishable from their neighbours. 
 
When are Crowns Used? 

  • To restore badly broken down teeth. 

  • To alter shape, size or inclination of teeth. For improved function and or aesthetics. 

  • To rebuild a mouth with excessive tooth wear 

  • To provide support for bridges and dentures. 

  • To protect root treated teeth. 

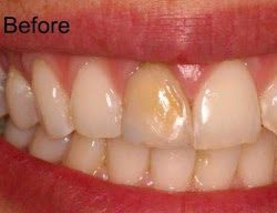
  • To cover severely stained or discoloured teeth. 

 All prosthodontic work should be as aesthetic as possible. It is essential that the patient plays an active part in the treatment, to convey their exact desires and expectations. Crowns are prepared in conjunction with the onsite laboratory technicians to analyse the shade, shape and size and meet the individual requirements of the patients.